Implants

Restore Strength & Function with Dental Implants

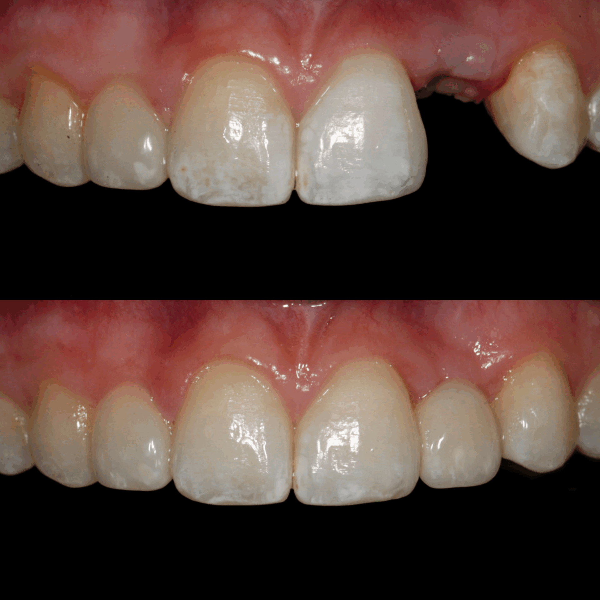
Dental implants are a durable, long-term solution designed to replace missing or severely damaged teeth, restoring both natural function and aesthetics.

What It Includes:

How Dental Implants Work

Dental implants replace missing teeth at the root level through a structured, multi-phase process—ensuring long-term stability, natural function, and seamless aesthetics.

step 1

Consultation & Digital Assessment

We evaluate oral health, bone structure, and aesthetic goals using digital scans and X-rays to determine candidacy and create a personalized treatment plan.

step 2

Implant Placement & Healing

A biocompatible titanium post is surgically placed into the jawbone. Over the following months, the implant fuses with the bone to create a stable, long-lasting foundation.

step 3

Abutment Placement & Impressions

Once healed, an abutment is attached to the implant, allowing a custom restoration to be crafted for optimal fit, function, and appearance.

step 4

Final Crown, Bridge, or Denture

A perfectly matched prosthetic tooth is secured to the implant—restoring natural chewing ability, speech, and a confident smile.

Dental Implant FAQs

Understand the benefits, longevity, and care involved with dental implants.

How long do dental implants last?

With proper care, implants can last 15–25+ years, and in many cases a lifetime. The crown attached to the implant may need periodic replacement due to normal wear.

Yes. Implants mimic natural tooth roots, providing a secure foundation for restorations that match the surrounding teeth in shape, color, and function.

Most patients report minimal discomfort during placement, as local anesthesia is used. Mild soreness afterward is normal and typically resolves within a few days.

Ideal candidates have healthy gums and sufficient jawbone density. If bone loss has occurred, procedures like bone grafting or sinus lifts may be recommended beforehand.

Care is similar to natural teeth—daily brushing, flossing, and routine cleanings. Avoiding smoking and reducing excessive grinding can help extend implant longevity.

Still have questions?

Schedule Your Consultation Today

Transform your look with expert treatments designed just for you. Schedule your checkup and cleaning today for a brighter, healthier smile tomorrow!